With this 21st edition of TheTrocar we continue to build on a journey that began in 1998, and since 2020 has evolved into an open-access platform under the umbrella of the International Society for Gynecological Endoscopy (ISGE). We are proud to present a rich and diverse issue, which comprises 15 contributions — a balanced mix of original research, reviews, expert recommendations, case reports and video-articles — reflecting the growing demand and engagement from our global community. Continue reading introduction …
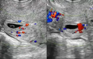
Pepper Training model for hysteroscopy ans sonographic image of adeno-myosis.
Index: TheTrocar Volume 6 – Issue 4. 2025
Introduction
- Introduction: Editorial – 21st Edition of TheTrocar
By Guenter Noé
Article list
- The Integrated Animal Tissue – Bell Pepper Model A Cost-effective Haptic Training Model for Resectoscopic Surgery
Sanket Pisat, Pratik Sudhir Naik, Suchita Sanket Pisat, Saski Dilip Kadu
DOI: 10.36205/trocar6.2025015 - Improving Hysteroscopic Visualization – The GloveSeal Technique to Prevent Operative Vision Compromise in Hysteroscopy
Pranay Vinot Desai, Sanket Pisat, Pratik Sudhir Naik, Suchita Sanket Pisat, Sakshi Dilip Kadu
DOI: 10.36205/trocar6.2025016 - Effective Management of Pregnant Women with Adenomyosis A Comprehensive Approach to Minimize Adverse Pregnancy Outcomes
Yamal Patel, Kennedy Malele, Joseph Santeto, Joseph Njagi, Raj Dodia
DOI: 10.36205/trocar6.2025017 - Uterine Transplantation versus Surrogacy for Absolute Uterine Factor Infertility: Challenges, Complications and Mini Literature Review
Haghgoo Ameneh, Ghahremani Mehran, Akhbari Farnaz, Ghahremani Dorsa
DOI: 10.36205/trocar6.2025018 - Standardized 10-Step Laparoscopic Protocol for Rectosigmoid Deep Endometriosis Intracorporeal Anastomosis and Transvaginal NOSE Approach
Xaviera Riveralainez Rios1, Ramiro Cabrera Carranco1, Eder Gabriel Rivera Rosas1, Anna Gabriela Sierra Brozon, Armando Menocal Tavernier, William Kondo, Fernando Diaz Roesch
DOI: 10.36205/trocar6.2025019 - The Multidisciplinary Team Approach to Deep Infiltrating Endometriosis
Yamal Patel, Kennedy Malele, Joseph Santeto, Joseph Njag
DOI: 10.36205/trocar6.2025020 - A Triplet Heterotopic Pregnancy with Favourable Outcome after Laparoscopic Salpingectomy and Loss of One Intrauterine Twin
Esaïe Muanda-Mbaki, Alphonse Tshiamu Bakamwenza, Amos Kusuman, Jules Odimba Mpoy , Damien Mamanisini Kiaku-Mbuta, Vicky Lokomba Bolamba, Emmanuel Nzau- Ngoma
DOI: 10.36205/trocar6.2025021 - Female Vulvar Leiomyoma Mistaken for Bartholin’s Cyst
Tong Zhao, Lu Luo, Xinghan Zhai
DOI: 10.36205/trocar6.2025022 - Laparoscopic Hypogastric Artery Ligation for Severe Spontaneous Hemorrhage from a Cervical Mass in Pregnancy
Marco Antonio Delgado Ordoñez, Carlos Leal Melendez, Graciela Ivette Olivas Estrada, Citlali Mariel Reyes Espinal, Enrique Calleros Ruiz, Nadia Pamela Guerrero Medrano
DOI: 10.36205/trocar6.2025023 - Spontaneous Heterotopic pregnancy with Twin Live Intrauterine Gestation and Ovarian Ectopic
Glossy Sabharwal, Rishi Raj, Meenu Agarwal
DOI: 10.36205/trocar6.2025024 - Hope Beyond Adhesions Stepwise Hysteroscopic Adhesiolysis and Cavity Restoration in Severe Intrauterine Adhesions
Rahul Manchanda, Roshini Arunaa, Ruchika Gupta
DOI: 10.36205/trocar6.vid25012 - A Novel Way to Manage Lost Needle in Laparoscopic Surgery
PG Paul, Akansha Das, Monila Zutshi, George Paul
DOI: 10.36205/trocar6.vid25013 - En Bloc Laparoscopic Hysterectomy for Deep Infiltrating Endometriosis with #Enzian C3 Bowel Nodules A Natural Orifice Specimen Extraction (NOSE)
Perla Sofía Vera Hernández, Ramiro Cabrera Carranco, Ana G. Sierra Brozon, Ulises Armando Menocal Tavernier, William Kondo, Eder Gabriel Rivera Rosas, Fernando Díaz Roesch, Xaviera Riveralainez Ríos
DOI: 10.36205/trocar6.vid25014 - Isthmocele – Bladder Perforation Management of a Complicated Case
Rahul Manchanda, Roshini Arunaa, Ruchika Gupta
DOI: 10.36205/trocar6.vid25015 - Laparoscopic Excision of Cesarean Scar Pregnancy and Repair of the Uterine Defect
Beatriz Feria, Tiago Alves, Inês Reis, Joao Alves
DOI: 10.36205/trocar6.vid25016
Full articles open access
Uterine Transplantation versus Surrogacy for Absolute Uterine Factor Infertility: Challenges, Complications and Mini Literature Review
DOI: 10.36205/trocar6.2025018
The Multidisciplinary Team Approach to Deep Infiltrating Endometriosis: Exemplary Performance (Opinion Paper)
DOI: 10.36205/trocar6.2025020
The Integrated Animal Tissue – Bell Pepper Model: A Cost-effective Haptic Training Model for Resectoscopic Surgery
DOI: 10.36205/trocar6.2025015
Standardized 10-Step Laparoscopic Protocol for Rectosigmoid Deep Endometriosis: Intracorporeal Anastomosis and Transvaginal NOSE Approach (Video Article) GalleryStandardized 10-Step Laparoscopic Protocol for Rectosigmoid Deep Endometriosis: Intracorporeal Anastomosis and Transvaginal NOSE Approach (Video Article)
Standardized 10-Step Laparoscopic Protocol for Rectosigmoid Deep Endometriosis: Intracorporeal Anastomosis and Transvaginal NOSE Approach (Video Article)
DOI: 10.36205/trocar6.2025019
Spontaneous Heterotopic pregnancy with Twin Live Intrauterine Gestation and Ovarian Ectopic: A Case Report
DOI: 10.36205/trocar6.2025024
Laparoscopic Hypogastric Artery Ligation for Severe Spontaneous Hemorrhage from a Cervical Mass in Pregnancy
DOI: 10.36205/trocar6.2025023
Laparoscopic Excision of Cesarean Scar Pregnancy and Repair of the Uterine Defect (Video Article)
DOI: 10.36205/trocar6.vid25016
Isthmocele – Bladder Perforation: Management of a Complicated Case (Video article)
DOI: 10.36205/trocar6.vid25015
Improving Hysteroscopic Visualization – The GloveSeal Technique to Prevent Operative Vision Compromise in Hysteroscopy
DOI: 10.36205/trocar6.2025016
Hope Beyond Adhesions: Stepwise Hysteroscopic Adhesiolysis and Cavity Restoration in Severe Intrauterine Adhesions (Video article)
DOI: 10.36205/trocar6.vid25012
Female Vulvar Leiomyoma Mistaken for Bartholin’s Cyst
DOI: 10.36205/trocar6.2025022
En Bloc Laparoscopic Hysterectomy for Deep Infiltrating Endometriosis with #Enzian C3 Bowel Nodules: A Natural Orifice Specimen Extraction (NOSE) Technique (Video Article) GalleryEn Bloc Laparoscopic Hysterectomy for Deep Infiltrating Endometriosis with #Enzian C3 Bowel Nodules: A Natural Orifice Specimen Extraction (NOSE) Technique (Video Article)
En Bloc Laparoscopic Hysterectomy for Deep Infiltrating Endometriosis with #Enzian C3 Bowel Nodules: A Natural Orifice Specimen Extraction (NOSE) Technique (Video Article)
DOI: 10.36205/trocar6.vid25014
Effective Management of Pregnant Women with Adenomyosis: A Comprehensive Approach to Minimize Adverse Pregnancy Outcomes: a Review
DOI: 10.36205/trocar6.2025017
A Triplet Heterotopic Pregnancy with Favourable Outcome after Laparoscopic Salpingectomy and Loss of One Intrauterine Twin
DOI: 10.36205/trocar6.2025021
A Novel Way to Manage Lost Needle in Laparoscopic Surgery (Video article)
DOI: 10.36205/trocar6.vid25013
Editorial – 21st Edition of TheTrocar
With this 21st edition of TheTrocar we continue to build on a journey that began in 1998, and since 2020 has evolved into an open-access platform under the umbrella of the International Society for Gynecological Endoscopy (ISGE). We are proud to present a rich and diverse issue, which comprises 15 contributions — a balanced mix of original research, reviews, expert recommendations, case reports and video-articles — reflecting the growing demand and engagement from our global community.
In this edition you will find two original papers that advance our scientific understanding, two reviews that appraise current evidence or evolving techniques, and two expert recommendations or opinion pieces that share insights and guidance drawn from clinical experience. Beyond that, four compelling case reports provide detailed reflections of unique clinical scenarios — often the kind of practical knowledge that proves invaluable especially in low-resource or uncommon settings. Finally, five video-articles — a format increasingly appreciated for its didactic value — complement our traditional written content.
This expansion of content underscores not only TheTrocar’s growth in numbers, but also its maturation as a truly global exchange platform. From centers with state-of-the-art equipment to colleagues working under resource constraints, from young researchers seeking their first publication to seasoned experts offering their experience TheTrocar brings all voices together. This inclusivity lies at the heart of ISGE’s mission: to make minimal-invasive gynecologic surgery accessible worldwide, and to share knowledge across continents.
Importantly, the mixed format of this issue – combining original research with reviews, opinions, clinical case reports and videos – mirrors the real-world landscape of gynecological endoscopy: a field where innovation, clinical acumen, shared experience and open dialogue all matter. By embracing this variety, we encourage contributions not only from those who conduct large prospective trials, but also from practitioners whose strength lies in ingenuity, in adapting established techniques to emerging needs, or in reporting rare but instructive cases. The enthusiastic response to our call for submissions, and the increasing volume and diversity of contributions, encourages and motivates us – the publisher, the editorial board, the reviewers – to keep working toward a journal that serves as a platform for the global community. We remain committed to open access, affordable or free publication for ISGE members, and a peer-review process that respects both scientific rigor and inclusiveness.
We invite you, our readers and contributors, to immerse yourselves in this issue. Let the clinical observations, the surgical techniques, the evidence summaries and expert reflections inspire you – and perhaps welcome you to contribute your own experience in future editions. Only through global collaboration and exchange can we continue to advance gynecological endoscopy for the benefit of patients everywhere.
Good health and progress
For the Editorial Board
Guenter Noé
Editor in chief















