We are now approaching the third year of the pandemic and it is questionable how long it will last. With Omicron there is currently a new variant that is at least more contagious than Delta. Sufficient data are not yet available on the course and effectiveness of the vaccinations. For a specialist society like ISGE, this is and will remain a difficult challenge. Continue reading introduction …
A parasitic fibroid and adhesions due to abdominal hernia surgery with mesh and tacker
Index: TheTrocar Volume 2 – Issue 4. 2021
Introduction
Original
Case Reports
Video-articles
Full articles open access
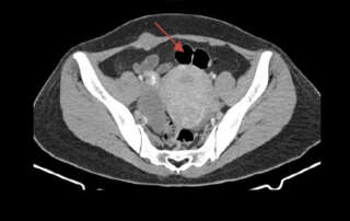
ENDOMETRIOSIS OF THE RECTUS ABDOMINIS MUSCLE FOLLOWING A CAESAREAN SECTION: A CASE REPORT
DOI: 10.36205/trocar4.2021004
Introduction of the new procedure in UK- Laparoscopic Pectopexy. Two years follow up study
DOI: 10.36205/trocar4.2021002
Minimally Invasive Hysterectomies: A Survey of Current Practices amongst members of the International Society for Gynaecologic Endoscopy
DOI: 10.36205/trocar trocar4.2021001
PREGNANCY FOLLOWING HYSTEROSCOPIC MYOMECTOMY IN SUBMUCOUS FIBROID : A CASE REPORT
DOI: 10.36205/trocar4.2021005
The History of Laparoscopy in view of the future (a video-lecture)
DOI: 10.36205/trocarvid4.2021002
Video Article: Synechiae treatment by the Intrauterine Bigatti Shaver
DOI: 10.36205/trocarvid4.2021001









